Wizards in Data Curation
Curated data is essential for unlocking the full potential of Artificial Intelligence.
At Datawiz LLC, our team of curators, experts in their respective domains, collaborates with a network of specialists in data collection, cleaning, annotation, transformation, and lifecycle management. We offer comprehensive solutions that enable our clients to extract insights from data, apply AI technologies effectively, and achieve excellence in their fields.
EdTech
Industrial and Medical
Image Diagnosis
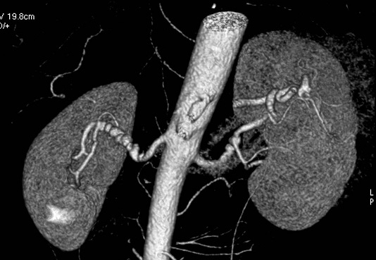
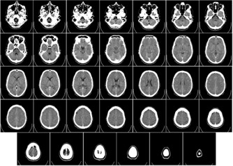
A picture is worth a thousand words, and in the fields of medicine and product development, non-intrusive diagnostic images such as X-rays, CT scans, and MRIs can be the difference between life and death. Our team has supported numerous medical professionals and industrial experts in resolving critical issues, aiding both human patients and products alike.
Insights from Domain Experts
Figuring out “what is wrong” requires insights into how things work in a human body or a product, and why they work (or fail). It is multi-disciplinary and requires complex problem-solving skills.
Our team of industrial diagnostic image curation consists of experts in material science, mechanical engineering, manufacturing engineering, failure analysis, packaging and assembly, and reliability engineering.
We work with a large group of medical professionals to analyze and curate medical images, including ultrasound, x-ray CT, and MRI.
Devil is in the Detail
Datawiz’s experts pioneered the adaptation of microCT (300nm vixel size or smaller) in the consumer electronics and medical devices field more than a decade ago and revolutionized the field. We have established thousands of use cases of microCTs, including detecting structural defects, porosity analysis, fractures and delamination, alloy phases, and many more.
This led to our participation in many innovative and cool projects such as archeology, paleontology, pedology, clean energy, composite materials, additive manufacturing and many more.







Curation unveils the beauty and the truth
If you are curious about how we can help to get insights of your data and unlock the potential of AI in your field, please send us an inquiry.






